About
I'm a dental professional passionate about microscopic and adhesive dentistry. After graduating from Beirut Arab University in 2023, I completed the Advanced General Dentistry Program in 2024. I'm now pursuing a Master's in Endodontics, focusing on precision, minimally invasive care, and modern adhesive techniques. I’m committed to providing high-quality, evidence-based treatment that prioritizes both function and aesthetics.
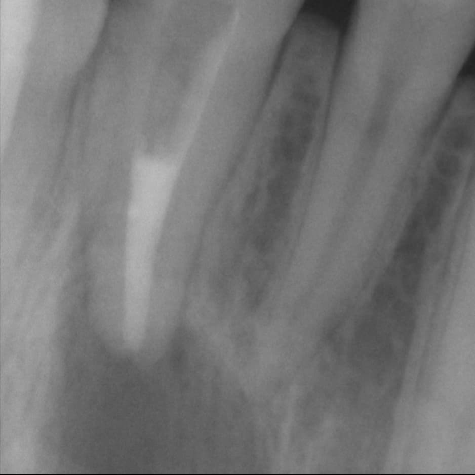
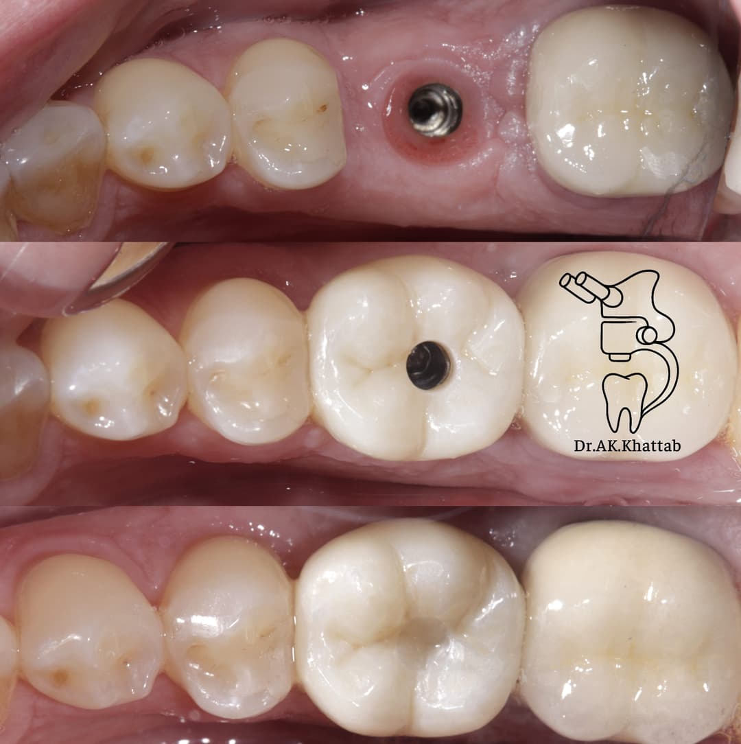
Endodontics
5 Posts
5 Posts
View AllDentures
2 Posts
2 Posts
View AllHighlights
6 Posts
6 Posts
View AllIsolations and Rubber Dam Shots
7 Posts
7 Posts
View AllWorth a Pic
2 Posts
2 Posts
View AllOverlays
6 Posts
6 Posts
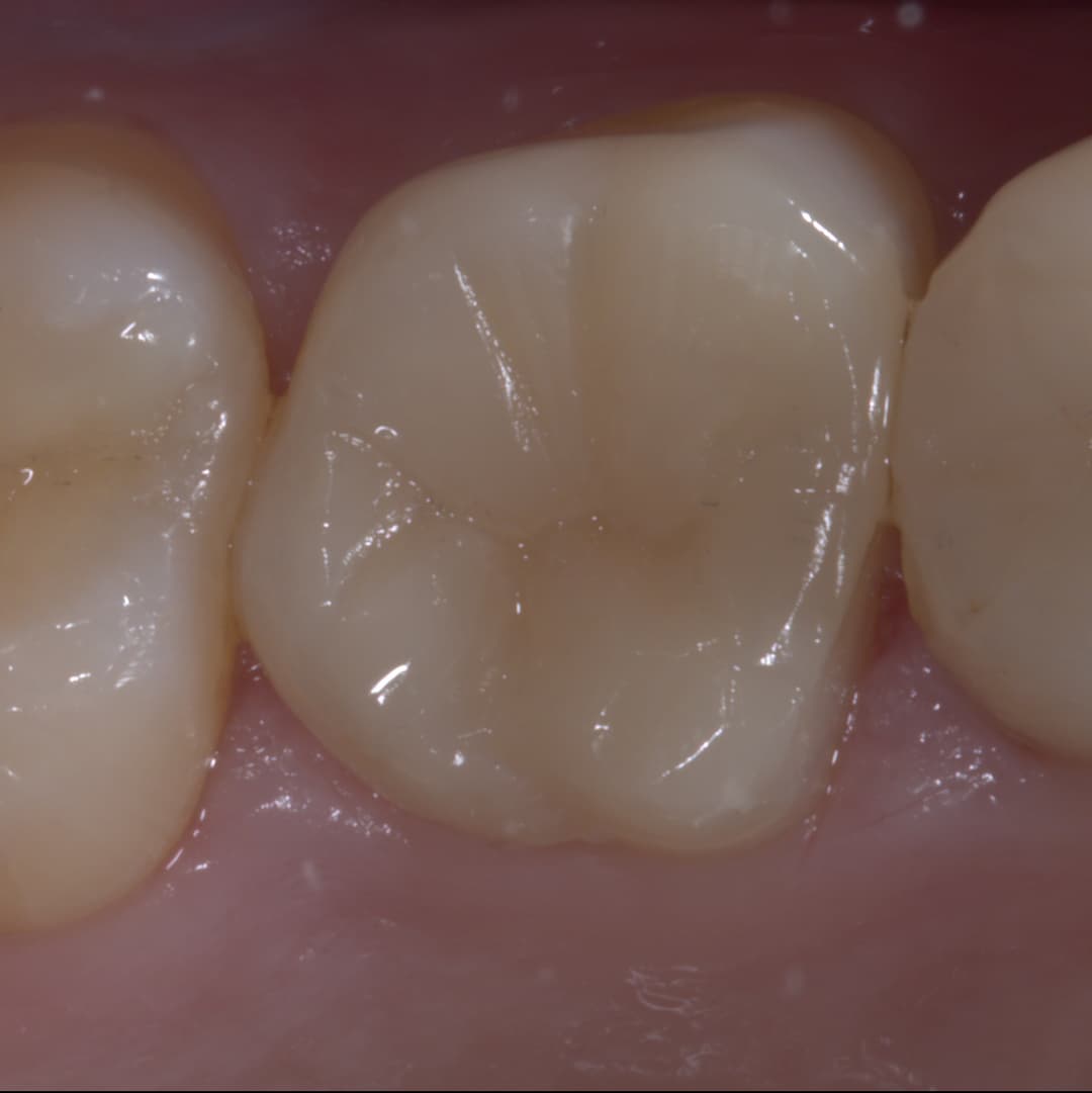
View AllDirect Composites
13 Posts
13 Posts
View All





.jpg&w=1080&q=75)














.jpg&w=1080&q=75)
.jpg&w=1080&q=75)












